Radiologia Dentale e Tecnologie Diagnostiche a Castiglione dei Pepoli – Analisi precise per cure più sicure
Compila il form
Compila il modulo sottostante per ricevere una consulenza personalizzata. Il nostro team ti ricontatterà al più presto.
Esami diagnostici ad alta precisione per identificare patologie dentali e parodontali in modo tempestivo.
Radiografia panoramica (OPT), teleradiografia e radiografia endorale digitale per valutazioni complete.
CBCT (Cone Beam 3D) per diagnosi tridimensionali e pianificazione chirurgica avanzata.
Tecnologia digitale per ridurre i tempi di esposizione e migliorare la sicurezza.
Il nostro obiettivo: fornire diagnosi rapide, affidabili e indispensabili per terapie personalizzate e minimamente invasive.
Che cos’è la diagnostica radiologica in odontoiatria
Gli esami radiologici permettono di visualizzare ciò che non è visibile a occhio nudo: radici, osso mascellare, articolazioni e tessuti circostanti. Una diagnosi corretta dipende dalla qualità delle immagini, per questo nello Studio Dentistico Baragazza a Castiglione dei Pepoli utilizziamo dispositivi digitali di ultima generazione, pensati per garantire massima precisione con la minima esposizione possibile.
La radiologia non è solo un supporto, ma parte integrante di qualunque percorso di cura: aiuta a prevenire, intercettare e trattare patologie in modo più mirato, riducendo rischi e interventi non necessari.

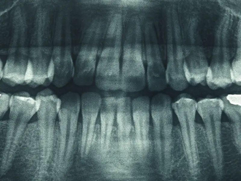
Radiografia Panoramica (OPT): la base della diagnosi generale
La panoramica dentale offre una visione completa di denti, mascella e mandibola in un’unica immagine. È un esame rapido e indolore, ideale per avere un quadro generale della situazione orale.
Viene utilizzato per valutare lo stato parodontale, lesioni periapicali e carie interprossimali difficili da individuare clinicamente, controllare lo stato delle otturazioni e monitorare la permuta dentale nei pazienti più giovani.
L’utilizzo della tecnologia digitale riduce al minimo l’esposizione alle radiazioni e fornisce immagini nitide, facilmente condivisibili durante la visita.
Radiografia endorale: dettagli ad alta definizione
Grazie alla radiografia endorale possiamo acquisire radiografie mirate su singoli denti o piccole aree della bocca con una qualità d’immagine superiore rispetto ai sistemi tradizionali. Questo ci permette di:
- individuare precocemente carie iniziali
- lesioni tra i denti
- infiammazioni delle radici
- piccoli difetti non visibili nella panoramica.
La tecnologia digitale garantisce inoltre una minore esposizione ai raggi X e la possibilità di visualizzare immediatamente le immagini sul monitor, spiegando al paziente ogni passaggio in modo chiaro e comprensibile.

CBCT (Cone Beam 3D): visione tridimensionale per terapie avanzate
La Cone Beam è una TAC dentale a basso dosaggio che genera immagini tridimensionali dell’arcata dentale e dei mascellari. È essenziale nei casi complessi, come implantologia, chirurgia orale o endodonzia avanzata.
L’esame consente di valutare con precisione spessore, densità e morfologia dell’osso, individuare canali radicolari complessi, diagnosticare cisti o lesioni ossee e pianificare interventi chirurgici con alto margine di sicurezza.
Teleradiografia: fondamentale per l’ortodonzia
La teleradiografia (latero-laterale o postero-anteriore) analizza i rapporti tra ossa del cranio, denti e mascelle, ed è indispensabile per lo studio cefalometrico in ortodonzia.
Grazie a questo esame è possibile comprendere come i denti si relazionano alle strutture scheletriche, prevedere la crescita nei bambini e tracciare un piano terapeutico realmente personalizzato.
Perché scegliere noi
Piani di pagamento personalizzati, anche a tasso 0.
Preventivi chiari e trasparenti.
Prima visita disponibile entro pochi giorni.
Contattaci
